多克隆抗体

- FCGRT Antibody
-
恒远生物抗体平台现已拥有4万多种抗体(含单抗和多抗),包括人类常用抗体,模式生物类相关抗体、小分子抗体、二抗、标签抗体及内参抗体等。并以每年4000种的速度在持续增长。
恒远生物拥有专业的质控团队,配备先进实验仪器,现已成功地建立了ChIP平台,因此我们的抗体不仅能提供Biotin、FITC、HRP等标记,大部分抗体都能进行ELISA、WB、IHC、IF、IP、ChIP等应用验证。
我们致力于为所有用户提供高亲和力、高特异性的优质抗体,欢迎来电咨询。
FCGRT Antibody
-
货号:HYK-200236
-
规格:
-
图片:
产品详情
-
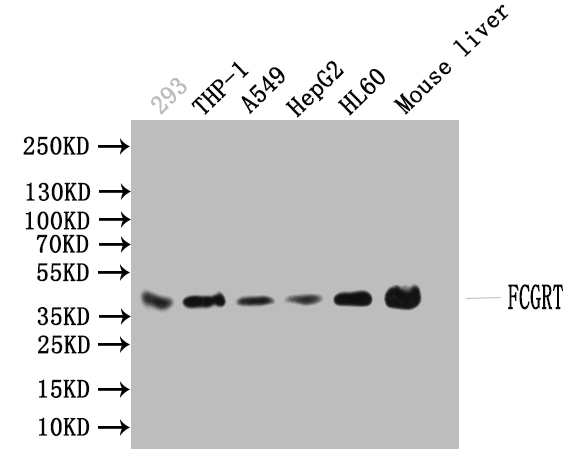
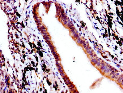
产品描述:FCGRT polyclonal antibody CSB-PA008545EA01HU was produced in the rabbits immunized by using the Recombinant Human IgG receptor FcRn large subunit p51 protein (24-297AA) as the immunogen. The target protein FCGRT is a cell surface receptor that binds the Fc region of monomeric immunoglobulin G. This protein transfers immunoglobulin G antibodies from mother to the newborn across the placenta. Besides, it also binds immunoglobulin G to protect the antibody from degradation. Diseases associated with FCGRT include selective Igg deficiency disease and immunodeficiency.
This Rabbit anti-Homo sapiens (Human) FCGRT Polyclonal antibody was tested in the ELISA, WB, IHC and IF applications. The non-conjugated IgG got purified by protein G and reached up to 95% in purity. It reacts with the FCGRT proteins of human or mouse-origin and may be used to detect the endogenous levels of FCGRT protein. -
产品名称:Rabbit anti-Homo sapiens (Human) FCGRT Polyclonal antibody
-
Uniprot No.:P55899
-
基因名:FCGRT
-
别名:Alpha chain antibody; Fc fragment of IgG; receptor transporter; alpha antibody; FCGRN_HUMAN antibody; FCGRT antibody; FcRn alpha chain antibody; FcRn antibody; FCRN; alpha chain antibody; IgG Fc fragment receptor transporter alpha chain antibody; IgG Gc receptor antibody; IgG receptor FcRn large subunit p51 antibody; IgG receptor FcRn large subunit p51 precursor antibody; Immunoglobulin receptor; intestinal; heavy chain antibody; Neonatal Fc receptor antibody
-
宿主:Rabbit
-
反应种属:Human, Mouse
-
免疫原:Recombinant Human IgG receptor FcRn large subunit p51 protein (24-297AA)
-
免疫原种属:Homo sapiens (Human)
-
标记方式:Non-conjugated
-
克隆类型:Polyclonal
-
抗体亚型:IgG
-
纯化方式:>95%, Protein G purified
-
浓度:It differs from different batches. Please contact us to confirm it.
-
保存缓冲液:Preservative: 0.03% Proclin 300
Constituents: 50% Glycerol, 0.01M PBS, PH 7.4 -
产品提供形式:Liquid
-
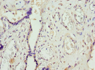
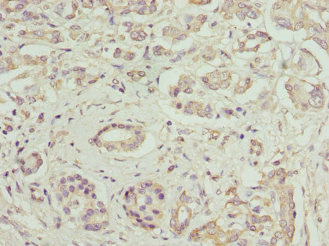
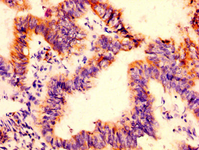
应用范围:ELISA, WB, IHC, IF
-
推荐稀释比:
Application Recommended Dilution WB 1:500-1:2000 IHC 1:20-1:1000 IF 1:50-1:200 -
Protocols:ELISA Protocol
Western Blotting (WB) Protocol
Immunohistochemistry (IHC) Protocol
Immunofluorescence (IF) Protocol
-
储存条件:Upon receipt, store at -20°C or -80°C. Avoid repeated freeze.
-
货期:Basically, we can dispatch the products out in 1-3 working days after receiving your orders. Delivery time maybe differs from different purchasing way or location, please kindly consult your local distributors for specific delivery time.
FTSJ1 Antibody
TBCC Antibody
AMBP Antibody
CRHR1 Antibody
INMT Antibody
MRPL19 Antibody
在线询价
- *
- *
- *
- *
- *
-
*
);)
相关产品
DNAJB1 Antibody
恒远生物抗体平台现已拥有4万多种抗体(含单抗和多抗),包括人类常用抗体,模式生物类相关抗体、小分子抗体、二抗、标签抗体及内参抗体等。并以每年4000种的速度在持续增长。
查看详细CAPN2 Antibody
恒远生物抗体平台现已拥有4万多种抗体(含单抗和多抗),包括人类常用抗体,模式生物类相关抗体、小分子抗体、二抗、标签抗体及内参抗体等。并以每年4000种的速度在持续增长。
查看详细










